Главный врач, врач-стоматолог терапевт
Я врач-стоматолог терапевт. Окончила стоматологический факультет КГМА. Профессиональный подход к каждому пациенту, большой интерес к работе, качественное ее выполнение, а также желание и умение воспитывать в большинстве пациентов стоматологическую грамотность — вот моя цель. Помимо основной терапевтической деятельности (безболезненное лечение кариеса и его осложнений, реставрация зубов), выполняю гигиенические процедуры: снятие зубных отложений, глубокое фторирование зубов, также отбеливание зубов, диагностику заболеваний пародонта и лечение десны на одном из самых современных и эффективных аппаратов «Vector».

2008 г. — «Кемеровская государственная медицинская академия», Стоматология
2009 г. — «Кемеровский государственный медицинский университет», Стоматология общей практики (интернатура)
2012 г. — «Кемеровский государственный медицинский университет», Стоматология терапевтическая (повышение квалификации)
2017 г. — «Кемеровский государственный медицинский университет», Стоматология терапевтическая (повышение квалификации)
2022 г. — «Кемеровский государственный медицинский университет», Организация здравоохранения и общественное здоровье (Циклы переподготовки)










Прием (осмотр, консультация, составление комплексного плана лечения (КПЛ)) врача-стоматолога первичный
Наложение резиновой завесы оптрагейт
Наложение резиновой завесы коффердам
Наложение временной пломбы
Наложение временной пломбы из стеклоиономерного цемента (СИЦ)
Наложение временной пломбы с девитализирующей пастой
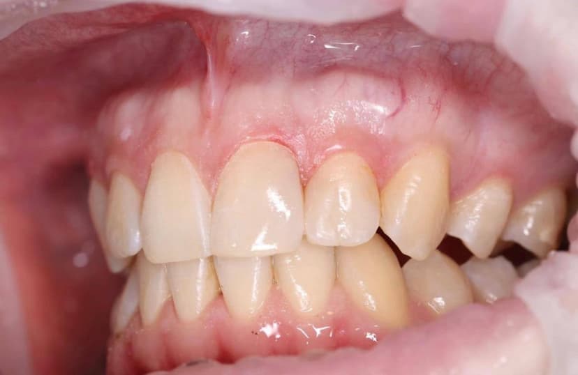
Восстановление зуба пломбой (с использованием материалов из фотополимеров I, V, VI класса)
Восстановление зуба пломбой с нарушением контактного пункта (с использованием материалов из фотополимеров II, III класса)
Восстановление зуба пломбой (с использованием материалов из фотополимеров IV класса)
Полировка, реставрации в течение гарантийного срока 1зуб
Пульпотомия (ампутация коронковой пульпы)
Экстирпация пульпы
Восстановление стенки зуба перед эндодонтическим лечением
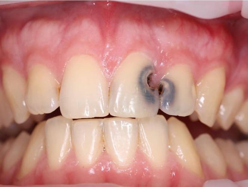
Снятие пломбы, препарирование кариозной полости
Лечебная и изолирующая прокладка
Восстановление зуба пломбой из стеклоиономерного цемента (СИЦ)
Отсроченное лечение глубокого кариеса / обратимого пульпита (первое посещение)
Частичная коррекция пломбы, реставрации (краевое прилегание, поры, окрашивание)
Восстановление бокового зуба, разрушенного менее чем на 1/2
Восстановление переднего зуба, разрушенного менее чем на 1/2
Пломбирование корневого канала зуба
Пломбирование корневого канала зуба методом латеральной конденсации (гуттаперчивыми штифтами)
Закрытие перфорации стенки корневого канала зуба
Диагностическое препарирование корневых каналов
Инструментальная и медикаментозная обработка корневого канала (одного)
Инструментальная и медикаментозная обработка хорошо проходимого корневого канала (одного)
Инструментальная и медикаментозная обработка плохо проходимого корневого канала (одного)
Временное пломбирование лекарственным препаратом корневого канала (одного)
Медикаментозная обработка корневого канала перед пломбированием в последующее посещение (одного)
Удаление внутриканального штифта, вкладки (инородного тела)
Распломбировка корневого канала, ранее леченного пастой
Распломбировка корневого канала, ранее леченного фосфат-цементом
Распломбировка корневого канала, ранее леченного резорцин-формальдегидом
Распломбировка корневого канала, ранее леченного термафилом
Распломбировка корневого канала, ранее леченного гуттаперчей
Ультразвуковое расширение корневого канала
Избирательное полирование зуба
Восстановление зуба, эстетическая реставрация (вкладками, виниром, полукоронкой) из композитного материала
Восстановление бокового зуба (штифтом), разрушенного менее чем на 1/2
Восстановление переднего зуба (штифтом), разрушенного менее чем на 1/2
Восстановление переднего зуба (штифтом), разрушенного более чем на 1/2
Восстановление бокового зуба (штифтом), разрушенного более чем на 1/2
Дополнительный штифт
Восстановление зуба штифтовым зубом (изготовление культи под протезирование)
Анестезия проводниковая
Анестезия аппликационная
Анестезия инфильтрационная
Сочетанная анестезия
Наложение повязки в полости рта (септопак)
Наложение резиновой завесы оптрагейт
Наложение резиновой завесы коффердам
Комплексная профессиональная гигиена полости рта (ультразвук, Air Flow, полировка пастой)
Комплексная профессиональная гигиена полости рта (ультразвук, Air Flow, полировка пастой) в молочном прикусе
Комплексная профессиональная гигиена полости рта (ультразвук, Air Flow, полировка пастой) в сменном прикусе
Комплексная профессиональная гигиена полости рта, с ортодонтическими аппаратами (ультразвук, Air Flow, полировка пастой)
Комплексная профессиональная гигиена полости рта, с ортодонтическими аппаратами (ультразвук, Air Flow, полировка пастой) дети
Фторирование эмали зубов (APF)
Профессиональное отбеливание зубов гелем Amazing White с использованием аппарата ZOOM 4
Профессиональное отбеливание зубов Philips Zoom 4 WhiteSpeed
Изготовление индивидуальной капы на обе челюсти для домашнего отбеливания
Обучение гигиене полости рта и зубов, подбор средств и предметов гигиены (щетка в подарок)